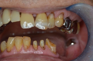
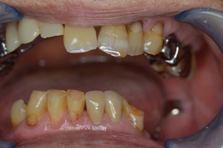
2015年8月10日 / 最終更新日時 : 2019年5月17日 まえだ歯科 ブログ 前歯にジルコニアクラウン 術前 術後 急に歯茎がはれて強い痛みが伴ったケースです、消毒をくりかえして安定したので、ジルコニアクラウンでフィニッシュです。 白い歯に戻ってよかったですね。 歯科医師 前田