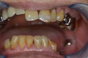
堅牢なジルコニアインレー

a12.jpg DSC_0916.jpg
術前 術後

 

奥歯の力がかかるところには、非常に硬度のあるジルコニアインレーがお勧めです。

食事時、50℃付近での急激な口腔内温度の変化後でも接着力を失わない優れた素材です。

歯科医師 前田

ブログ

前の記事

金属アレルギー