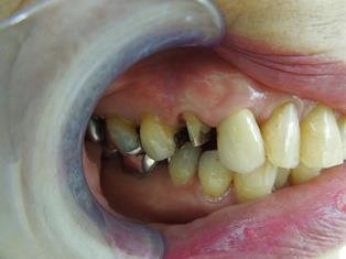
2013年7月31日 / 最終更新日時 : 2019年5月17日 まえだ歯科 ブログ 審美的ジルコニアクラウン かなりリアルな感じに仕上がったケースです。 横の天然歯の犬歯とくらべても、遜色ありません。 ジルコニアクラウンは表面が非常に滑沢なので、歯の汚れがつきにくく、清掃しやすくなります。 術前 術後 歯科医師 前田